Check out the FAQ,Terms of Service & Disclaimers by clicking the
link. Please register
to be able to post. By viewing this site you are agreeing to our Terms of Service and Acknowledge our Disclaimers.
FluTrackers.com Inc. does not provide medical advice. Information on this web site is collected from various internet resources, and the FluTrackers board of directors makes no warranty to the safety, efficacy, correctness or completeness of the information posted on this site by any author or poster.
The information collated here is for instructional and/or discussion purposes only and is NOT intended to diagnose or treat any disease, illness, or other medical condition. Every individual reader or poster should seek advice from their personal physician/healthcare practitioner before considering or using any interventions that are discussed on this website.
By continuing to access this website you agree to consult your personal physican before using any interventions posted on this website, and you agree to hold harmless FluTrackers.com Inc., the board of directors, the members, and all authors and posters for any effects from use of any medication, supplement, vitamin or other substance, device, intervention, etc. mentioned in posts on this website, or other internet venues referenced in posts on this website.
We are not asking for any donations. Do not donate to any entity who says they are raising funds for us.
Announcement
Collapse
No announcement yet.
USA: Fatal brain infection by Balamuthia mandrillaris amoeba reported in Seattle, WA woman who used home-filtered tap water in Neti pot - possible connection
USA: Fatal brain infection by Balamuthia mandrillaris amoeba reported in Seattle, WA woman who used home-filtered tap water in Neti pot - possible connection
Note that she did filter her water. I saw some public health advice here that says filtered water is OK for neti pots. Maybe a certain kind of filter would work, but obviously filters in general will NOT make neti pot water safe from parasites.
This case is very sad because the victim was a cancer survivor and should not have had to die like this.
"...there’s an obvious contest that’s happening between different sectors of the colonial ruling class in this country. And they would, if they could, lump us into their beef, their struggle." ---- Omali Yeshitela, African People’s Socialist Party
(My posts are not intended as advice or professional assessments of any kind.) Never forget Excalibur.
The infection was actually Balamuthia mandrillaris, not Naegleria fowleri. This leads to certain questions as outlined in the twitter thread below. - Ro
OK, it's somewhat moved out of the news cycle, but I'd like to take a minute to talk about some problems with the #Balamuthia "brain-eating #amoeba from a Neti pot" story from last week. 1/n
Rich Davis Retweeted Ilan Schwartz MD PhD 🔬 🍄 🤒
First, the big takeaways from this story have been: - Everyone: use only sterile (NOT filtered!) water for nasal lavage! - Doctors: be aware of free-living amoebas in your diagnoses - #Balamuthia is a real, serious pathogen All these are VERY TRUE! 2/n
Rich Davis added,
Ilan Schwartz MD PhD 🔬 🍄 🤒@GermHunterMD
Epidemiology and Clinical Features of Balamuthia mandrillaris Disease in the United States, 1974 ? 2016. Clin Infect Dis Review of 109 cases of #Balamuthia disease in the US. 99% had granulomatous amebic encephalitis, 90% died. #EmergingInfections http://bit.ly/2QMmILt
You should DEFINITELY only use sterile water in Neti pots. Free-living amoebas Acanthamoeba, Balamuthia and Naegleria have all been implicated in encephalitis and death. This is very serious stuff. 3/n https://www.cdc.gov/dpdx/freelivingamebic/index.html?
But ? THIS ? particular study. The title of the publication is: "Fatal Balamuthia mandrillaris brain infection associated with improper nasal lavage." Some things don't quite add up with that statement. 4/n Free, open access text here:
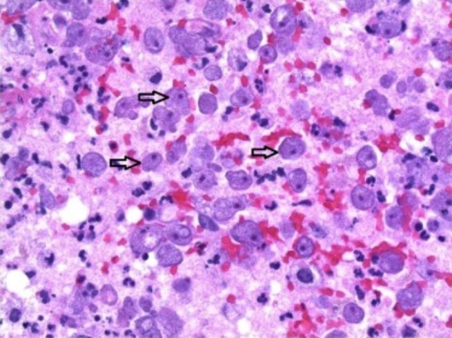
First what DO we know: The CDC confirmed via PCR and antibody staining (IFA) that what was in this woman's brain was Balamuthia mandrillaris. Not Naegleria, not Acanthamoeba. So we know that that was the cause of death. No questions there. 5/n (pathology image from the article)
So here's the problem. How do they connect THIS amoeba encephalitis infection with Neti-pot usage? Well, they don't, really. This is the sentence from the discussion: 6/n
I'm fine with an article saying they were "led to suspect" a pathway for infection. Not when you TITLE the paper (and give news interview to this effect) in such a way as to ESTABLISH an unestablishable pathway. It's ... a stretch. 7/n
Naelgeria and Neti-pots/nasal lavage: known association. They live in warm water, enter through the sinuses and can be found along nerves leading to the brain. 8/n
This patient's course of disease: - chronic sinus problems, started using a Neti pot - developed rash/lesion OUTSIDE the nose (???) 1 mth later - this was biopsied 3 times - 1yr later, seizure - brain imaging showing what turned out to be #Balamuthia 10/n
The CDC PCR showed Balamuthia in both the brain AND in biopsy tissue from the nose lesion. So it WAS in the nose lesion. But what is unclear (unlikely?) is how Balamuthia would seed a patch of skin on the OUTSIDE of the nose via nasal lavage with amoeba-containing water. 11/n
Which biopsy did they confirm via PCR the presence of the ameoba in the (again, I keep stressing this because it's weird) external nose lesion? Was it the first one? Or did a lesion form and, when systemic amoebiasis happen, it got seeded at that point? 12/n
The timeline seems strange too. One of the reasons clinicians need to be aware of free-living amoebas in their differentials is because onset and death can happen very quickly. Having Balamuthia for a full year before causing encephalitis? That's ? unusual. 13/n
Recap: Did she died of #Balamuthia? Yes. No question. Do we know she got it from nasal lavage from non-sterile water. No. And frankly there are problems with that timeline. But again, SHOULD you use sterile water for nasal lavage. HECK YES. 14/14
"...there’s an obvious contest that’s happening between different sectors of the colonial ruling class in this country. And they would, if they could, lump us into their beef, their struggle." ---- Omali Yeshitela, African People’s Socialist Party
(My posts are not intended as advice or professional assessments of any kind.) Never forget Excalibur.
When I first read this story, I had my suspicions that the initial media report was not going to be correct.
We've actually seen a handful of such errant reports in the national and international media over the past decade that seem to fit this pattern. An illness or death is reported in a sensational way and the story goes viral. The illness is typically a gruesome illness associated with a common object, perhaps used in an improper or unorthodox way. Off the top of my head, I think of the two people who died in Indiana after cleaning a barn, the man who became ill after stealing a cell phone from an Ebola treatment center in Uganda during an outbreak, the Florida man who died after eating dozens of cockroaches, the three babies who died in Egypt after using rubbing alcohol on their forehead to reduce a fever, and now this one. The stores went viral, especially on social media, for weeks or months, despite being locally discarded practically immediately as the illnesses found alternative explanations.
Unfortunately, the media loves a sensational story. And when the story appears to be that a common object can kill you in a painful or gruesome way, the truth often lags far behind.
In the current global climate of disease news suppression it is better to post an item so we can evaluate. In this case, a lot of valuable public health information about Neti pots was disemminated.
Comment